5 Questions you SHOULD ask if diagnosed with gum disease

This is an important question as it shows that you are taking “ownership” of the disease and the process of halting it. There is no known cure for gum disease. Gum disease can however be effectively managed using simple day to day routines. Your Dentist/ Dental Hygienist will be able to provide a tailor-made care plan for you.
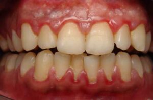
Without treatment, gum disease tends to progress to tooth loss, often with painful intervals of abscesses before eventual loss. Gum disease is the leading cause of tooth loss. Research also indicates links to heart disease and stroke. Aside from this, gum disease has demoralizing social effects by causing mouth odour, loss of confidence to smile, loss of self esteem, inability to chew properly,etc.
“I cannot thank you enough for my experience, I phoned as a non registered patient in need of an emergency appointment and as a very…”
“Thank you Dapo and your dream team ❤🥰❤ I feel like I've been absolutely pampered with my recent treatments....and who would have ever thought that…”
“I just wanted to thank you again for how well you all treated my mum yesterday. She was very nervous but you were so kind…”
“Really great!!”
“I couldn’t stop looking at my teeth on the way home, you’ve done an amazing job - thank you so so much, you’re the BEST!!”

Teeth straightening is a minimally invasive and affordable treatment.
Learn more• Step free access
• Wheelchair access
• Car parking
• Disabled parking