Teeth straightening is a minimally invasive and affordable treatment that corrects crooked teeth to give you straight teeth…
View ReportWould you like to achieve a similar result for your smile? Call us today on: 01392 879 397
View ReportReplacement of decayed tooth with silver filling with White filling "Would you like to achieve a similar result…
View ReportWe can replace your metal fillings with white fillings which are perfectly matched to your tooth colour so…
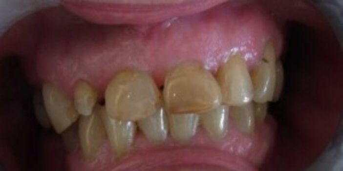
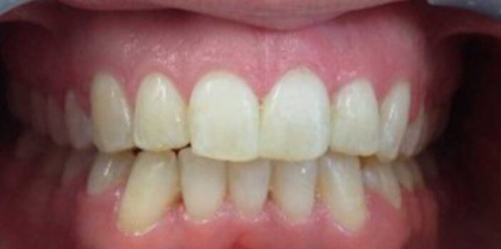
View ReportThis lady was unhappy with the colour and positioning of her teeth. Treatments done: Teeth whitening, 6 porcelain…
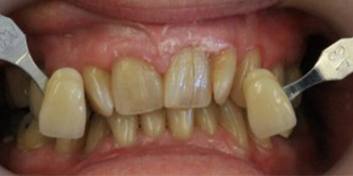
View ReportThis lady wanted a more confident smile for her son’s wedding. Treatments done:- Teeth whitening, 6 porcelain dental crowns,…
View Report“I cannot thank you enough for my experience, I phoned as a non registered patient in need of an emergency appointment and as a very…”
“Thank you Dapo and your dream team ❤🥰❤ I feel like I've been absolutely pampered with my recent treatments....and who would have ever thought that…”
“I just wanted to thank you again for how well you all treated my mum yesterday. She was very nervous but you were so kind…”
“Really great!!”
“I couldn’t stop looking at my teeth on the way home, you’ve done an amazing job - thank you so so much, you’re the BEST!!”

Teeth straightening is a minimally invasive and affordable treatment.
Learn more• Step free access
• Wheelchair access
• Car parking
• Disabled parking