Effects Of Dry Mouth
Saliva plays an important role in keeping your mouth healthy by washing around teeth, lubricating our food, protecting the lining of your mouth and aids digestion.
People who suffer from a dry mouth may therefore lose these important functions. Effects of this may include:
- a burning sensation or soreness in your mouth
- dry lips
- bad breath or mouth odour (halitosis)
- a decreased or altered sense of taste
- repeated mouth infections
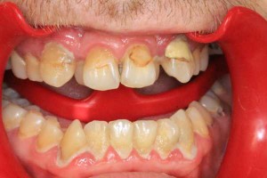
- tooth decay, acid erosion and gum disease
- difficulty speaking, eating or swallowing
Management Of Dry Mouth
Dry mouth is managed by identifying the underlying cause and instituting preventative measures to prevent undesirable side effects
If caused by medication, your GP may be able to prescribe an alternative medication to the one you are currently on.
Lifestyle adjustments may need to be made such as frequently sipping on water to keep hydrated and also to keep your mouth moist.
Good Oral hygiene is imperative to prevent tooth decay. Your dentist may be able to prescribe special toothpaste aimed at strengthening vulnerable teeth.
Your dentist may also want to take regular x-rays of your teeth to ensure that no tooth decay is left undetected
Devices can also be worn to reduce sleep apnea which is also a known cause of dry mouth
How You Can Manage Dry Mouth
There are simple measures you can try to help keep your mouth moist. For example, it may help to:
- increase your fluid intake – take regular sips of cold water or an unsweetened drink
- suck on sugar-free sweets or chew sugar-free gum – this can stimulate your salivary glands to produce more saliva
- suck on ice cubes – the ice will melt slowly and moisten your mouth
- avoid alcohol (including alcohol-based mouthwashes), caffeine and smoking – these can all make a dry mouth worse
Saliva Substitutes And Stimulants
If the measures above don’t help, your dentist, GP or specialist may suggest using an artificial saliva substitute to keep your mouth moist. This may come in the form of a spray, gel or lozenge. Use it as often as you need to, including before and during meals.
If your dry mouth is caused by radiotherapy or Sjögren’s syndrome, a medication called Pilocarpine may be prescribed. This is taken as a tablet several times a day to help stimulate your salivary glands to produce more saliva.
However, Pilocarpine isn’t suitable for everyone, as it may cause side effects, such as sweating or headaches.

